
Small and isolated populations, such as that of Anthemis aeolica, tend to have low genetic variability and are more vulnerable to environmental stress. The estimate of the genetic variability of the single population of Anthemis aeolica is therefore the basis for the planning of strengthening interventions, aimed at increasing its density and genetic diversity.
The samples for the analysis of microsatellite loci (SSRs), commonly used in population genetics due to their high level of polymorphism, were collected from 40 adult individuals in Lisca Bianca in the spring of 2023 and processed at the molecular biology laboratory of Department of Biological, Geological and Environmental Sciences of the University of Catania.
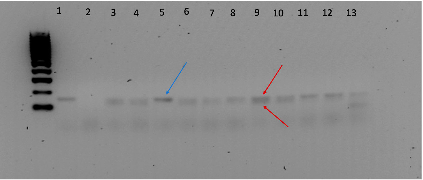
Small and isolated populations, such as that of Anthemis aeolica, can suffer a decrease in genetic diversity over time caused by an increase in inbreeding and this can cause the fixation of deleterious alleles that decrease local fitness. If this process was already underway in the single population of A. aeolica, which consists of around 250 individuals, the species would be even more vulnerable to environmental stress. Therefore, at the laboratories of the Department of Biological, Geological and Environmental Sciences of the University of Catania and of the CNR-ISAFOM headquarters in Catania, an investigation was started aimed at estimating intra-population genetic variability. The analysis took into consideration the following parameters: allele frequency, heterozygosity rate, presence of exclusive alleles and gene flow. About 100 mg of leaf tissue were sampled at the Lisca Bianca islet (Panarea, ME) from 40 adult individuals at a distance of at least 4 m from each other, to avoid taking material coming from the same genet. To verify the trend of genetic variability over the generations, leaf tissues from 24 individuals generated from seeds collected in 2020 (F1 generation) were also used. DNA extraction was carried out, following the protocol of Kocik (1996), modified appropriately. For the screening phase, 6 primer pairs were used that amplify polymorphic microsatellite regions widely used in the literature for similar purposes. The amplification of the target regions allowed the identification of DNA regions (microsatellites) in conditions of heterozygosity and homozygosity) which will allow us to estimate the genetic variability of A. aeolica.
